Adet kanamasının 1. gününden itibaren başlayan ve takip eden adet kanamasının 1. gününe kadar devam eden dönem bir adet döngüsüdür (Örneğin; 30 gün).
Bir adet döngüsünün sonunda adet kanamasının olması genel olarak o adet döngüsü içinde yumurtanın büyüdüğünü ve yumurtlamanın olduğunu göstermektedir.
Örneğin; Her ay bir kere adet kanaması olan bir kadında bir yıl içinde ortalama 12 defa, 2 ayda bir kere adet kanaması olan bir kadında 1 yıl içinde ortalama 6 defa, 6 ayda bir kere adet kanaması olan bir kadında ise 1 yıl içinde sadece ortalama 2 defa yumurtlama olmaktadır.

Yumurtlama sonrası ilk 72 saat gebelik ihtimalinin en yüksek olduğu dönemdir. Bu dönemde yumurta sperm ile birleşmeye (döllenme) hazırdır.
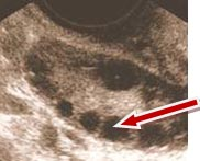
Yukarıdaki ultrason resmi bir polikistik over (yumurtalık) görüntüsüdür.
Yumurtalığın ortasında bulunan beyaz alanın çevresine dizilmiş kırmızı renkli ok ile işaret edilen siyah renkli, yuvarlak, küçük keseciklerin içinde yumurtalar bulunmaktadır.
Polikistik over sendromu olan kişilerin bir kısmında bu küçük keseciğin içinde bulunan yumurtanın gelişimi ve yumurtlama olmadığı için gebelik oluşmamaktadır.
Polikistik over sendromu olan kadınların bir kısmı, A ve B grubuna girenler, yumurta gelişimi ve yumurtlama olmaması veya gecikmeli olması nedeniyle gebe kalmakta zorluk yaşamaktadır.
Örneğin; Her ay düzenli adet kanaması olan bir kişi 3 ay içinde gebe kalabilirken, polikistik over sendromu olduğu için adet kanaması 2 ayda bir olan başka bir kişi ancak 6 ay içinde gebe kalabilmektedir.
Polikistik over sendromu olan kadınların bir kısmında ise, her ay bir kere düzenli adet kanaması olmasına rağmen, yumurtlama olmamaktadır. Sanki doğum kontrol hapı kullanıyormuş gibi her ay düzenli adet kanaması olmasına rağmen bu gruba giren kadınlar da gebe kalamamaktadır.
1-Çocuk isteği tedavisine başlamadan önce kişinin polikistik over sendromu olup olmadığı bilinmelidir.
2-Polikistik over sendromu varsa grubu (A, B, C) ve sorunun şiddeti belirlenmelidir.
3-Polikistik over sendromu’nun tedavisi planlandıktan sonra çocuk isteği tedavisine başlanılmalıdır.
4-Polikistik over sendromu tedavisini takiben çocuk isteği tedavisine başlanılması tedavinin doğru bir şekilde planlanmasını ve hamilelik döneminde ortaya çıkabilecek sorunların da önceden tespit edilmesini sağlamaktadır.
POLİKİSTİK OVER SENDROMU’NDA ÇOCUK İSTEĞİ TEDAVİSİ
1-Gebelik oluşması için ultrason yardımıyla yumurtayı taşıyan küçük keseciğin büyümesi doğal yolla veya keseciğin büyümesi için yardımcı ilaçlar kullanılarak takip edilmektedir.
2-Yumurtlamanın olup olmadığı ultrason ve kan tahlili (progesteron hormonu) ile tespit edilmektedir.
3-Belirli bir büyüklüğe gelen keseciğin duvarı LH hormonu miktarının kanda en üst düzeye ulaşmasından yaklaşık 36 saat sonra çatlar ve yumurta dışarıya atılır ve yumurtlama (ovulasyon) gerçekleşir.
4-Yumurtlamanın olduğu tespit edildikten sonraki bu dönemde ilişkide bulunulması önerilmektedir.
5-Sperm sayısının azlığı, hareket ve şekil bozukluğu gibi erkekten kaynaklanan başka sorunlar da varsa aşılama (İntrauterin inseminasyon) tercih edilmektedir.
Buraya kadar anlatılan yöntemler yardımıyla polikistik over sendromu olan kadınların büyük çoğunluğu gebe kalabilmektedir.
Polikistik over sendromu’nda çocuk isteği tedavisinde laparoskopik ovarian drilling ameliyatı özellikle hastaların bir kısmında faydalı olmaktadır.
Önemli olan ameliyattan fayda görecek olan hastanın doğru seçilmesidir.
Bu ameliyat çocuk isteği tedavisinde yumurtayı içinde taşıyan küçük keseciğin büyümesini ve yumurtlamayı sağlar.
Polikistik over ameliyatı miktarı ve etkinliği artmış olan erkeklik hormonlarının (testosteron ve androstenedion gibi) etkinliğini ve miktarını azaltarak ve insülin direncine karşı insülin duyarlılığını artırarak etki gösteren bir tedavi seçeneğidir.
İnsülin direncine karşı insülin duyarlılığının artması erkeklik hormonlarına bağlanarak onları etkisiz hale getiren Sex Hormone Binding Globulin miktarını arttırır.
Kişinin polikistik over sendromu’nun hangi grubunda (A,B,C) olduğu, ultrasonda yumurtalıklarının görünümü, erkeklik hormonlarının (testosteron ve androstenedion gibi) kan düzeyleri, erkeklik hormonlarına bağlanarak onları etkisiz hale getiren Sex Hormone Binding Globulin miktarı, insülin direnci, şeker hastalığı, kilo fazlalığı ve şişmanlık olup olmaması ameliyat olacak kişinin belirlenmesinde önem taşımaktadır.
Tüp bebek tedavisi (IVF) sperm sayısının çok az miktarda olduğu veya spermlerde ileri derecede hareket ve şekil bozukluğunun olduğu erkekten kaynaklanan sorunlarda veya sperm ve yumurtanın birleştiği yer olan tüplerin (fallop tüpleri) bütünlüğünün ve iletiminin bozulduğu tüplerden kaynaklanan sorunlarda uygulanmaktadır.
Polikistik over sendromu olan kadınların büyük bir kısmı tüp bebek tedavisine gerek kalmadan daha basit tedavi yöntemleriyle hamile kalabilmektedir.
Bu nedenle polikistik over sendromu’nda tüp bebek tedavisinin öncelikli bir yeri yoktur.
Ancak yumurta gelişimi ve yumurtlama sorunu ile birlikte erkekten veya kadının tüplerinden kaynaklanan başka sorunlarda varsa tüp bebek tedavisi tercih edilebilir.
Tedavi seçenekleri kadının yaşı, polikistik over sendromu’nun tipi (A,B,C), ultrasonda yumurtalıkların görünümü, kilo fazlalığı, şişmanlık, insülin direnci ve şeker sorunları, yumurta gelişimi ve yumurtlama sorunu ile birlikte erkekten veya kadının tüplerinden kaynaklanan başka sorunların olup olmamasına göre kişiden kişiye farklı şekillerde bazen birden fazla tedavi seçeneği birlikte, bazen de bir tedavi seçeneği tek başına uygulanmaktadır.